Monitorowanie poziomu tych komórek pomaga lekarzom ocenić stan zdrowia pacjenta. Zmiany w ich liczbie mogą wskazywać na różne schorzenia - od prostych infekcji po poważniejsze choroby. Wczesne wykrycie nieprawidłowości umożliwia szybsze podjęcie właściwego leczenia.
Najważniejsze informacje:- Niedojrzałe granulocyty są wskaźnikiem stanu zapalnego w organizmie
- Wzrost ich liczby często oznacza obecność infekcji bakteryjnej
- Przesunięcie w lewo może świadczyć o chorobach autoimmunologicznych lub nowotworowych
- Podwyższony poziom wymaga dalszej diagnostyki i konsultacji lekarskiej
- Zmiany mogą być też spowodowane stresem lub reakcją alergiczną
- Nie zawsze oznaczają poważną chorobę - często to naturalna reakcja obronna organizmu
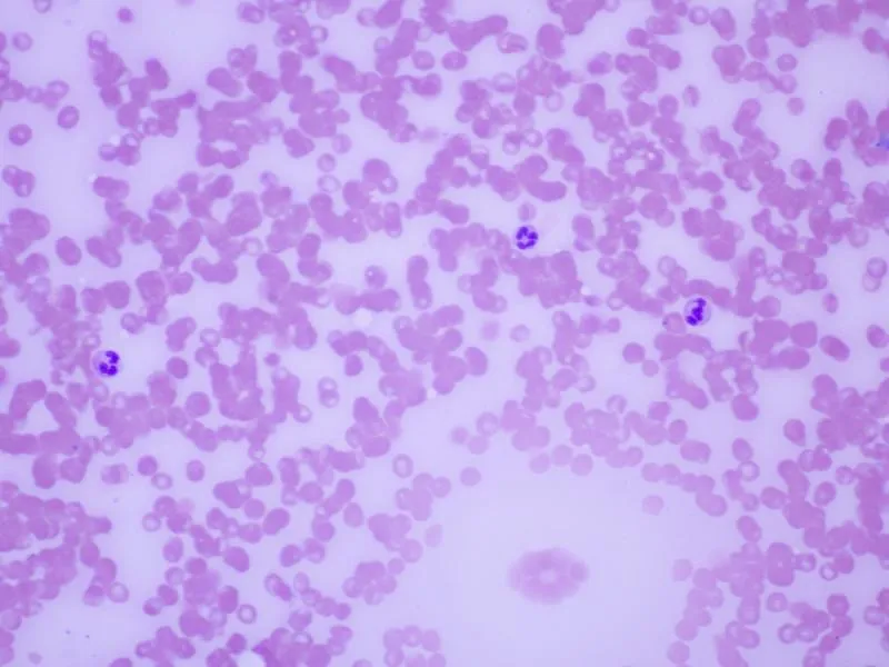
Co to są niedojrzałe granulocyty?
Niedojrzałe granulocyty to specyficzny typ białych krwinek, które normalnie dojrzewają w szpiku kostnym. Podczas rozwoju przechodzą przez kilka stadiów, zanim osiągną pełną dojrzałość. Podwyższony poziom niedojrzałych granulocytów w krwi obwodowej może świadczyć o toczącym się procesie chorobowym.
Granulocyty pełnią kluczową rolę w systemie odpornościowym, zwalczając bakterie i inne patogeny. Przesunięcie w lewo rozmazu krwi oznacza zwiększoną liczbę niedojrzałych form tych komórek. Ich obecność we krwi obwodowej jest sygnałem, że organizm intensywnie walczy z infekcją.
Normy i wartości referencyjne
Prawidłowy poziom niedojrzałych granulocytów różni się w zależności od wieku i płci pacjenta. Zwiększona liczba granulocytów może wskazywać na stan zapalny.
| Grupa wiekowa | Wartość referencyjna | 
|---|---|
| Noworodki | 0.5-2.5% | 
| Dzieci (1-10 lat) | 0.3-2.0% | 
| Dorośli | 0.1-1.5% | 
Przekroczenie tych norm wymaga dalszej diagnostyki. Nadmiar granulocytów w morfologii może być pierwszym sygnałem rozwijającej się choroby.
Czytaj więcej: Czerniak na paznokciu: Objawy i zdjęcia do identyfikacji
Przyczyny podwyższonego poziomu niedojrzałych granulocytów
Podwyższone granulocyty niedojrzałe we krwi mogą mieć różne przyczyny. Najczęściej jest to odpowiedź organizmu na infekcję. Dokładna diagnostyka pozwala ustalić źródło problemu.
- Ostre infekcje bakteryjne - szczególnie ciężkie zakażenia wymagające natychmiastowej reakcji układu odpornościowego
- Choroby autoimmunologiczne - gdy układ odpornościowy atakuje własne tkanki
- Stany zapalne - przewlekłe procesy zapalne w organizmie
- Nowotwory układu krwiotwórczego - szczególnie białaczki i chłoniaki
- Urazy i oparzenia - poważne uszkodzenia tkanek
- Stres metaboliczny - reakcja organizmu na silne przeciążenie
Identyfikacja głównej przyczyny jest kluczowa dla skutecznego leczenia. Właściwa diagnoza umożliwia dobranie odpowiedniej terapii.
Objawy towarzyszące wysokiemu poziomowi granulocytów
 
Podwyższony poziom niedojrzałych granulocytów często wiąże się z gorączką i ogólnym osłabieniem. Pacjenci mogą odczuwać znaczne zmęczenie i brak energii.
Częstymi objawami są też bóle mięśni i stawów. Zwiększona liczba granulocytów może też prowadzić do nocnych potów.
U niektórych pacjentów występują problemy z koncentracją i zawroty głowy. Możliwe jest też powiększenie węzłów chłonnych.
Diagnostyka poziomu granulocytów
Podstawowym badaniem jest morfologia krwi z rozmazem. Przesunięcie w lewo rozmazu krwi to charakterystyczny objaw wskazujący na obecność niedojrzałych form. Lekarz może też zlecić dodatkowe badania biochemiczne.
Ważna jest także ocena szpiku kostnego. Niedojrzałe krwinki białe podwyższone w szpiku mogą wskazywać na poważniejsze schorzenia. Badanie to pozwala określić stadium choroby.
| Metoda diagnostyczna | Zalety | Wady | 
|---|---|---|
| Morfologia z rozmazem | Szybka, nieinwazyjna | Mniej szczegółowa | 
| Biopsja szpiku | Bardzo dokładna | Inwazyjna | 
| Cytometria przepływowa | Precyzyjna analiza komórek | Wysoki koszt | 
Metody leczenia
Wybór metody leczenia zależy od przyczyny podwyższonego poziomu niedojrzałych granulocytów. W przypadku infekcji bakteryjnych stosuje się antybiotykoterapię.
Przy chorobach autoimmunologicznych konieczne jest leczenie immunosupresyjne. Terapia wymaga regularnego monitorowania morfologii krwi.
W przypadku nowotworów stosuje się chemioterapię lub radioterapię. Wybór konkretnej metody zależy od typu nowotworu.
Czasem wystarczy leczenie objawowe i odpoczynek. Organizm sam reguluje poziom granulocytów po ustąpieniu czynnika wywołującego.Skutki nieleczonych zaburzeń poziomu granulocytów
Podwyższony poziom niedojrzałych granulocytów bez odpowiedniego leczenia może prowadzić do poważnych powikłań. Przewlekły stan zapalny osłabia organizm i zwiększa ryzyko innych chorób. Nieleczone zaburzenia mogą prowadzić do uszkodzenia narządów wewnętrznych.
Długotrwałe utrzymywanie się zwiększonej liczby granulocytów może skutkować zaburzeniami odporności. Osłabiony układ immunologiczny staje się bardziej podatny na infekcje. Pacjenci częściej zapadają na różne choroby.
W skrajnych przypadkach nadmiar granulocytów w morfologii może prowadzić do niewydolności szpiku kostnego. Może to skutkować problemami z produkcją innych komórek krwi. Konsekwencją mogą być poważne zaburzenia krzepnięcia.
Profilaktyka i zalecenia
Regularne badania krwi pozwalają wcześnie wykryć nieprawidłowości. Szybka reakcja na podwyższone granulocyty niedojrzałe we krwi zwiększa szanse na skuteczne leczenie.
Warto wzmacniać odporność poprzez zdrowy tryb życia. Odpowiednia dieta i aktywność fizyczna wspierają prawidłowe funkcjonowanie układu odpornościowego.
- Wykonuj regularne badania kontrolne krwi
- Stosuj zbilansowaną dietę bogatą w witaminy i minerały
- Unikaj stresu i dbaj o odpowiednią ilość snu
- Zachowuj higieniczny tryb życia
- Reaguj szybko na pierwsze objawy infekcji
Granulocyty a układ odpornościowy
Granulocyty stanowią pierwszą linię obrony organizmu przed patogenami. Przesunięcie w lewo rozmazu krwi świadczy o intensywnej pracy układu odpornościowego. Zwiększona produkcja granulocytów to naturalna reakcja obronna.
Niedojrzałe krwinki białe podwyższone we krwi wskazują na mobilizację szpiku kostnego. Proces dojrzewania granulocytów jest przyspieszony w odpowiedzi na zagrożenie. Organizm stara się szybko zwiększyć liczbę komórek obronnych.
Współpraca między różnymi typami komórek odpornościowych jest kluczowa dla zdrowia. Granulocyty współdziałają z limfocytami i monocytami. Ta złożona sieć powiązań zapewnia skuteczną ochronę organizmu.
Kiedy zgłosić się do lekarza z nieprawidłowym poziomem granulocytów?
Podwyższony poziom niedojrzałych granulocytów to ważny sygnał ostrzegawczy dla zdrowia. Wymaga szybkiej diagnostyki i odpowiedniego leczenia. Szczególnie istotna jest szybka reakcja przy wystąpieniu gorączki i ogólnego osłabienia organizmu.
Regularne badania krwi pozwalają wykryć przesunięcie w lewo rozmazu krwi zanim pojawią się poważniejsze objawy. W zależności od przyczyny, lekarz może zalecić różne metody terapii - od antybiotyków po bardziej zaawansowane formy leczenia. Zwiększona liczba granulocytów może być oznaką zarówno prostej infekcji, jak i poważniejszych schorzeń.
Nie należy ignorować nieprawidłowych wyników badań krwi. Konsekwencje nieleczonych zaburzeń mogą być poważne, a wczesna interwencja znacząco zwiększa szanse na pełne wyzdrowienie. Kluczowa jest też profilaktyka - zdrowy tryb życia i regularne kontrole medyczne pomagają utrzymać prawidłowy poziom granulocytów.





